|
|

|
| |
 |
| Odontopediatria |
 |
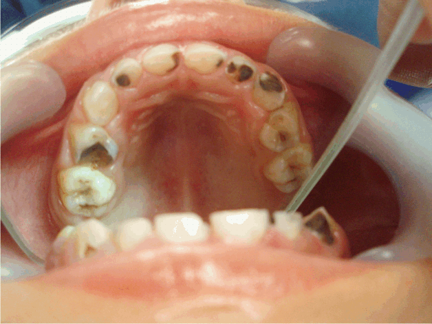
Lo importante de una sonrisa
Una buena salud oral incide directamente en la autoestima de los niños, ya que una buena sonrisa le permite interactuar de una manera abierta con sus pares, también se relaciona directamente en la forma en la que ellos se perciben a sí mismos, el cuidado de la boca de los más pequeños también influye en la forma que ellos se alimentan, ya que si se presenta alguna lesión ellos cambian sus hábitos alimenticios evitando el dolor que pueda generar el masticar o el dolor que puedan generar los cambios bruscos de temperatura, detrás de una sonrisa está la apropiación de hábitos saludables y de auto cuidado que incidirán directamente en la Salud bucal del niño para toda su vida. |
|
| Contacta al Dra en el correo: poderclown@gmail.com |
 |
Que es la Odontopediatria
La Odontología Pediátrica es la especialidad de la odontología que se centra en las necesidades de salud dental y bucal de los bebés, niños y adolescentes. Los odontólogos pediátricos son los pediatras de la odontología. La formación especializada de los odontólogos pediatras implica una formación adicional de dos años de rigurosa educación y de formación después de su pregrado como odontólogo general, estos estudios son teórico prácticos los cuales combinan la parte académica con el trabajo clínico incluyendo anestesia psicología, farmacología entre otros . Esta experiencias también permiten el manejo clínico de pacientes ( niños y adolescentes) con necesidades especiales de salud o de difícil comportamiento.
Los Odontopediatras al igual que sus colegas los Pediatras, son los médicos que brindan atención médica a los niños, los Odontólogos pediátricos se especializan en la prestación de servicios de salud oral integral para niños. Una de las razones más importantes para elegir un Odontopediatra es el conocimiento que este pueda tener para un buen abordaje y diagnóstico del paciente, el entrenamiento especial le da herramienta y habilidades para relacionarse con pacientes pediátricos bien sea de alto o bajo nivel de complejidad , una buena relación del niño con su Odontopediatra lo llevara al desarrollo da hábitos saludables y de una buena salud oral por el resto de su vida.
Un Odontologopediatra es el profesional de la salud mejor calificado para atender y satisfacer las nesecidades de la salud oral de niños y jovenes hasta los 18 años y pacientes con nesecidades especiales
|
| |

Primera consulta:
La visita al odontólogo es una parte integral del programa de salud de su hijo, la primera visita genera es un nuevo espacio en el cual el reconocerá la importancia del cuidado de sus dientes y de la salud de su boca, en este primer encuentro se hace énfasis en la prevención y en el cuidado de los dientes en el hogar, se guían las conductas a desarrollar en cuanto al cepillado, la frecuencia del uso del cepillo ,el uso de la ceda dental y zonas o trabajar durante este ejerccion. En este encuentro familiarizamos al paciente con su entorno en el consultorio, una adaptación a los instrumentos básicos y a los ruidos que experimentara en este espacio; el lenguaje usado en esta consulta es cordial y amigable y está encaminado a despejar dudas tanto del paciente, como del padre o madre; los términos utilizados en este dialogo son llevados a un lenguaje en el que el niño lo pueda interpretar y asimilar, se tiene un especial cuidado con el uso del algunos términos que puedan generar temor o preocupación como lo son aguja, perforación, daño entre otros.

|
Trabajo previo a la consulta en el Hogar:
Cuéntele a su hijo lo importante de visitar al Odontopediatra.
Puede simular por medio de un juego de roll lo que él va a experimentar en la consulta.
También puede sugerirle que tipo de conducta puede tener al llegar al consultorio.
Dele seguridad a su hijo previamente a la consulta, ya que es en este momento donde afloran los miedos y los imaginarios que él ha aprendido por la experiencias de los demás.
Refuerce las conductas positivas. |
| |
| |
| |
| PREGUNTAS FRECUENTES |
Preguntas más frecuentes
Preguntas generales
¿Qué debo usar para limpiar los dientes de mi bebé?
¿Cuándo debo llevar a mi hijo al dentista por primera chequeo?
¿Cuál es la diferencia entre un odontologo pediátrico y un odontólogo de la familia?
¿Son los dientes de leche realmente es importante para mi hijo?
¿Qué debo hacer si mi hijo tiene un dolor de muelas?
Chuparse el dedo y los hábitos nocivos para los dientes de un niño?
¿Cómo puedo prevenir el deterioro ?
¿Con qué frecuencia qué mi niño necesita ver a un odontólogo pediátrico?
Pasta de dientes: cuando debemos comenzar a utilizarlo y cuánto debemos utilizar?
¿Cómo puedo hacer segura la dieta de mi hijo por sus dientes?
¿Cómo funcionan los selladores dentales?
¿Cómo puedo saber si mi hijo está recibiendo suficiente fluoruro?
¿Qué puedo hacer para proteger los dientes de mi hijo durante los eventos deportivos?
¿Qué debo hacer si mi hijo se cae y golpea a un diente permanente?
¿Qué tan seguros son los rayos X dental?
¿Cómo pueden los padres ayudar a prevenir la caries dental?
Preguntas y Respuestas
¿Qué debo usar para limpiar los dientes de mi bebé?
Un cepillo de dientes eliminará la placa bacteriana que pueden conducir a la caries. Cualquier cepillo de dientes de cerdas suaves con una cabeza pequeña, de preferencia uno diseñado específicamente para los niños, se debe utilizar por lo menos una vez al día al acostarse.
¿Cuándo debo llevar a mi hijo al odontólogo por primera chequeo?
Con el fin de prevenir problemas dentales, su hijo debe ver a un dentista pediátrico cuando aparezca el primer diente, o no más tarde de su / su primer cumpleaños.
¿Cuál es la diferencia entre un dentista pediátrico y un dentista de la familia?
Los odontólogo pediátricos son los pediatras de la odontología. Un odontólogo pediátrico tiene dos o tres años de formación especializada después de la escuela de odontología y limita su / su práctica de tratar a los niños solamente. Los dentistas pediátricos son proveedores de cuidado oral primaria y especializada para bebés y niños hasta la adolescencia, incluyendo aquellos con necesidades especiales de salud.
¿Son los dientes de leche realmente es importante para mi hijo?
Los primeros dientes son importantes por muchas razones. No sólo ayudan a los niños hablan con claridad y masticar naturalmente, también ayudan en la formación de un camino que los dientes permanentes pueden seguir cuando están a punto de estallar.
¿Qué debo hacer si mi hijo tiene un dolor de muelas?
Primero, enjuague la zona irritada con agua tibia con sal y colocar una compresa fría en la cara si está hinchada. Dar al niño acetaminofeno para cualquier dolor, en vez de poner la aspirina en los dientes o encías. Por último, ver a un odontólogo tan pronto como sea posible.
¿Chuparse el dedo y los hábitos nocivos para los dientes de un niño?
Thumb y chupete hábitos de succión generalmente sólo se convierten en un problema si se prolongan durante un período muy largo de tiempo. La mayoría de los niños dejan de estos hábitos por su cuenta, pero si todavía están chupando el pulgar o los dedos más allá de la edad de tres años, un aparato de la boca pueden ser recomendados por su dentista pediátrico.
¿Cómo puedo prevenir el deterioro ?
Evite amamantar a los niños al dormir o poner aparte de agua en su botella de la hora de acostarse . También, aprender la forma correcta de cepillarse y usar el hilo dental los dientes del niño. Lleve a su hijo a un odontólogo pediátrico con regularidad para tener sus / sus dientes y encías controladas. La primera visita al dentista debe ser programada por el primer cumpleaños de su hijo.
¿Con qué frecuencia qué mi niño necesita ver a un dentista pediátrico?
Un chequeo se recomienda cada seis meses con el fin prevenir las caries y otros problemas dentales. Sin embargo, su odontólogo pediátrico puede decir cuándo y con qué frecuencia su hijo debe visitar en función de su salud bucal personal.
Pasta de dientes: cuando debemos comenzar a utilizarlo y cuánto debemos utilizar?
Cuanto antes, mejor! Desde el nacimiento, limpie las encías de su bebé con un cepillo de dientes infantil suave o un paño y agua.Tan pronto como los dientes comienzan a aparecer, inicie el cepillado dos veces al día con pasta dental con flúor y un cepillo de dientes suave de tamaño, la edad. Use un "desprestigio" de pasta de dientes para cepillar los dientes de un niño menor de 2 años de edad. Por 2-5 años de edad, dispensar una cantidad "tamaño de un guisante" de pasta de dientes y realizar o asistir cepillado de su hijo. Recuerde que los niños pequeños no tienen la capacidad de cepillarse los dientes de manera efectiva. El niño debe escupir y no tragar el exceso de pasta dental después del cepillado.
¿Cómo puedo hacer segura la dieta de mi hijo por sus dientes?
Asegúrese de que su niño tenga una dieta balanceada que incluya una porción de cada uno de: frutas y verduras, panes y cereales, la leche y los productos lácteos, la carne y el pescado y los huevos. Limitación de las porciones de azúcares y almidones también ayudará a proteger los dientes de su hijo contra las caries. También puede pedir a su dentista pediátrico que le ayude a seleccionar los alimentos que protegen los dientes de sus hijos.
¿Cómo funcionan los selladores dentales?
Selladores trabajan rellenando las grietas en las superficies de masticación de los dientes. Esto impide la entrada de partículas de alimentos que puedan engancharse en los dientes, causando caries. La aplicación es rápido y cómodo, y puede proteger eficazmente los dientes durante muchos años.
¿Cómo puedo saber si mi hijo está recibiendo suficiente fluoruro?
Pídale a su odontólogo pediátrico evaluar el nivel de fluoruro de fuente primaria de su hijo con agua potable. Si su niño no está recibiendo suficiente fluoruro internamente a través del agua (especialmente si el nivel de fluoruro es deficiente o si su hijo bebe agua embotellada sin flúor), su odontólogo pediátrico puede prescribir suplementos de flúor.
¿Qué puedo hacer para proteger los dientes de mi hijo durante los eventos deportivos?
Protectores bucales plástico suave se pueden utilizar para proteger los dientes de un niño, los labios, las mejillas y las encías de las lesiones relacionadas con el deporte. Un protector bucal hecha a la medida desarrollada por un odontólogo pediátrico proteger a su hijo de las lesiones de los dientes, la cara e incluso proporcionar protección contra lesiones graves en la cabeza.
¿Qué debo hacer si mi hijo se cae y golpea a un diente permanente?
La cosa más importante que hacer es mantener la calma. A continuación, busque el diente. Un momento por la corona en vez de la raíz y tratar de insertarlo en el zócalo. Si eso no es posible, ponga el diente en un vaso de leche y llevar a su hijo y el vidrio de inmediato al odontólogo pediátrico.
¿Qué tan seguros son los rayos X dentales?
Hay muy poco riesgo en las radiografías dentales. Los odontólogo pediátricos son especialmente cuidadosos para limitar la cantidad de radiación a la que están expuestos los niños. Delantales de plomo y películas de alta velocidad se utilizan para garantizar la seguridad y reducir al mínimo la cantidad de radiación.
¿Cómo pueden los padres ayudar a prevenir la caries dental?
Los padres deben llevar a sus hijos al dentista con regularidad, a partir de la erupción del primer diente. A continuación, el odontólogo puede recomendar un programa específico de cepillado, uso de hilo dental y otros tratamientos para los padres a supervisar y enseñar a sus hijos. Estos tratamientos en el hogar, cuando se añade a las visitas dentales regulares y una dieta equilibrada, ayudará a dar a su hijo una vida de hábitos saludables.
Fuente http://www.aapd.org/resources/frequently_asked_questions/ |
| |
| Contacta al Dra en el correo: poderclown@gmail.com |
AGENDE SU CITA
Dra .Sonrisas 3134990588 |
| |
| |
ODONTOLOGIA Y DISCAPACIDAD
Odontología en pacientes pediátricos con necesidades especiales: psíquicos y sensoriales .gif)
Por: Liliana Promisiero Ramirez
Odontóloga Universidad NacionalOdontóloga Pediatra Universidad El Bosque
INTRODUCCIÓN
A la hora de abordar a estos niños, el odontólogo debe atenderlos, en primer lugar, como seres humanos, y después solventar sus padecimientos. Son personas que deben ser consideradas como pacientes con problemas bucales que poseen una enfermedad complementaria.
Para el tratamiento odontológico de estos niños es necesario que el profesional conozca los problemas existentes en torno al niño discapacitado.
En primer lugar, los relacionados con la familia donde vive. Los padres de estos niños pasan por un proceso de adaptación cuando se encuentran con la sorpresa de haber tenido un niño con discapacidad. Al principio, el sentimiento es mezcla de dolor, rabia, impotencia y culpabilidad. Éste es seguido por otro de desengaño, tristeza; en el que dejan de prestar tanta atención por el niño. Llegado el momento, se adaptan y empiezan a plantearse un nuevo futuro, readaptar nuevas necesidades, muy diferentes a las que habían anticipado. Las madres ejercen un papel más importante que los padres.
Son momentos en los que los padres sienten aislamiento en la sociedad. Empiezan a pensar en términos de pronóstico y expectativa de vida.
Muchos de estos padres van a tener una actitud de sobreprotección, volcándose obsesivamente sobre el niño, haciéndolo el centro u objeto de todos los cuidados, a la vez que desatienden las necesidades de los otros hijos y las de sí mismos. Sin embargo, otros padres van a presentar una actitud de rechazo, sienten vergüenza e incluso llegan a esconder a su hijo. Esta última actitud, actualmente, es menos frecuente que en el pasado.

En la imagen paciente especial pediátrico trabajo bajo anestesia
Por otra parte, la presencia de un niño discapacitado en una familia es frecuentemente motivo de tensiones y conflictos entre los miembros de ésta, produciéndose en muchas ocasiones la pérdida de los lazos familiares.
El odontólogo se va a encontrar, por tanto, no sólo con un niño especial, sino también con una familia especial.
Otro problema importante es la reacción del dentista ante el niño especial. Está demostrado que las personas normales reaccionan ante las que tienen defectos psíquicos y/o físicos, de una forma más o menos extraña, aunque sea inconscientemente. Muchos odontólogos tienen serias barreras emocionales que les bloquean la relación con estos niños y la forma de aliviar sus sentimientos es rechazándolos sin más.
Algunos de los que aceptan tratar a estos niños se identifican con sus problemas, pero lo hacen hasta tal extremo que se vuelven ineficaces en su trabajo. Otros llegan a tener traumas psicológicos, trabajan con poca eficacia; con lo que el tiempo de trabajo se hace largo y cansado para él mismo y para el paciente.
Por tanto, el odontólogo debe conocer y asumir sus limitaciones. En unos casos, no podrá superarlas y, siendo consciente de ello, podrá derivar al paciente a otro profesional más habilitado. En otros, sin embargo, llega a salvar sus limitaciones y a asumir la necesidad de una preparación especial, para él y su personal. Si actúa de esta forma, el tratamiento de estos pacientes puede llegar a ser muy gratificante. |
| Contacta al Dra en el correo: poderclown@gmail.com |
AGENDE SU CITA
Dra. Sonrisas 3134990588
|
Detrás de estas sonrisas hay muchas más con tu apoyo podemos lograr una gran sonrisa. |
 |
 |
| Las mejores sonrisas son las que llegan al corazón, pensamos en un Clown diverso y sin barreras, ese que lleva una sonrisa accesible y sin fronteras. Sintonizados con la discapacidad, con el respeto y la diversidad, discapacidadsinfronteras. |
El regalo de una sonrisa nos inspira como Clowns Hospitalarios para llevar una sonrisa a quienes más las necesitan ¨esta vez el regalo nos tocó a nosotros¨
¨GRACIAS¨ |
|
| |
 |
|
|
| |
Compartimos nuestro trabajo y nuestras actividades en redes sociales visitanos en
|
| |
| |
|
| |
|
|